What Is a Root Canal? A Simple Guide to Saving Your Tooth

What Is a Root Canal A Simple Guide to Saving Your Tooth

Persistent tooth pain or sensitivity might be more than just a cavity, it can be a sign of deeper damage inside your tooth. When infection affects the inner layers, a special dental procedure called a root canal treatment is often needed to stop pain, protect your oral health, and save your natural tooth. If you’re experiencing symptoms and need urgent help, an Emergency Dentist in Mountain View can provide quick care.

This guide will explain what is a root canal, what causes root canal treatment to be necessary, how a root canal procedure is done, and why it is often preferred over having the tooth extracted.

What Is Root Canal Treatment and Why Is It Needed?

You may ask, “What is a root canal or, more casually, what’s a root canal?” A root canal treatment is a dental procedure that focuses on the tooth pulp, the soft tissue deep inside your tooth that contains nerves and blood vessels. When the pulp becomes inflamed or infected due to tooth decay, cracks, trauma, or repeated dental work, it can cause severe tooth pain and lead to serious complications if left untreated.

Root canal therapy removes the damaged pulp, eliminates infection, and restores the tooth’s structure, allowing you to keep your natural tooth instead of needing it extracted.

Root Canal Is for What Purpose?

Root canal is for what exactly? The main purpose of a root canal procedure is to:

  • Remove infection from inside the tooth
  • Relieve pain caused by inflammation
  • Prevent tooth loss and stop infection from spreading
  • Save your natural tooth instead of extracting it

In short, root canal therapy is done to treat an infected tooth and restore oral health, while keeping the outside structure of the tooth intact.

What Causes Root Canal Treatment to Be Needed

What Causes Root Canal Treatment to Be Needed?

Understanding what causes root canal treatment can help you prevent issues early. Common causes include:

  • Deep tooth decay that reaches the pulp
  • Cracks or chips from biting hard objects or injuries
  • Repeated dental procedures on the same tooth
  • Untreated cavities that worsen over time
  • Trauma from accidents or sports injuries

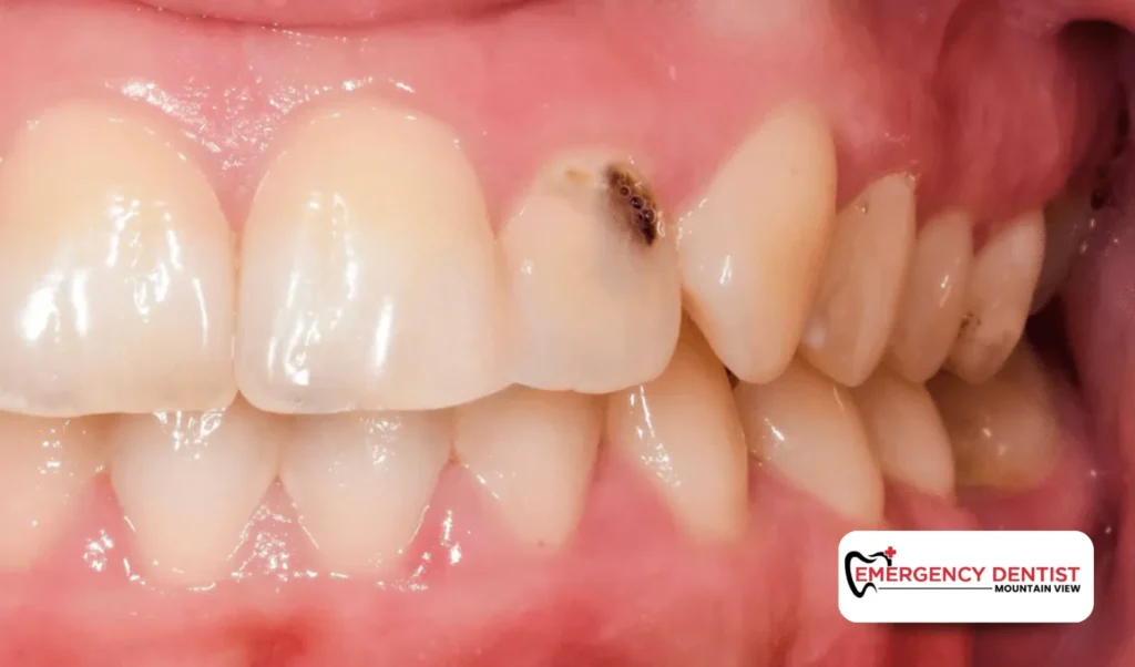
Sometimes an infected tooth doesn’t cause pain right away. Even without pain, damage can be progressing deep inside, which is why regular checkups with a general dentist are important.

The Tooth Root Canal Process: How Is a Root Canal Done?

If you’ve ever wondered how is a root canal done, the tooth root canal process includes several important steps:

 

 

A general dentist or root canal specialist examines the tooth and takes X-rays to determine the extent of damage.

 

  • Local Anesthetic

 

A local anesthetic is used to numb the area, keeping you comfortable throughout the dental procedure.

 

  • Removing the Pulp

 

A small opening is made in the tooth. The infected tooth pulp is removed, and the inner chamber is cleaned.

 

  • Filling the Canal

 

After cleaning, the space is filled with a rubber-like material called gutta percha to seal the canal and prevent reinfection.

 

  • Temporary Filling and Final Restoration

 

A temporary filling is placed to close the opening. Later, a dental crown is added to strengthen and protect the treated tooth.

Why Timely Treatment Matters

Why Timely Treatment Matters

Leaving an infected tooth untreated can lead to serious problems such as:

  • Infection spreading to the jawbone or bloodstream
  • Severe swelling and pain
  • Damage to nearby teeth and tissues
  • Possible tooth loss

 

Symptoms that may signal deeper problems include continuous tooth pain, pain when chewing, swelling, darkening of the tooth, or a bad taste or odor in your mouth. If you notice any of these signs, contact an Emergency Dentist in Mountain View for immediate treatment.

What to Expect After the Procedure

After root canal therapy, it is normal to feel mild sensitivity or tenderness for a few days. Over-the-counter pain relievers usually help. To protect your treated tooth and support healing:

  • Avoid chewing hard or sticky foods until a crown is placed
  • Eat soft foods while recovering
  • Brush and floss carefully around the area
  • Attend follow-up appointments for final restoration

 

Most people can return to normal activities within a day or two.

Tooth Extraction vs. Root Canal: Which Is Better?

While tooth extraction removes the problem, it also leads to tooth loss and may require additional treatments like dental implants or bridges. A root canal procedure allows you to save your natural tooth, maintain your smile, and preserve normal chewing function.

Root canal therapy is often less expensive, less invasive, and better for long-term oral health than extraction.

When You Should See an Emergency Dentist in Mountain View

Seek urgent care if you experience:

  • Sharp or throbbing tooth pain
  • Facial swelling or gum tenderness
  • Fever or signs of infection
  • Pain that gets worse when lying down
  • Cracked or exposed inner tooth

 

An Emergency Dentist in Mountain View can provide same-day treatment to relieve pain, stop infection, and save the affected tooth.

Conclusion

Understanding what is a root canal and how it works can reduce worry and help you make informed decisions about your oral health. Root canal therapy is a safe, routine dental procedure that removes infection, stops pain, and prevents tooth loss.

If you suspect an infected tooth, don’t delay. Early treatment helps protect your smile, improve comfort, and maintain your overall health.

Mountain View

Please enter your name and phone number below to access our online booking portal.